84 MALE , COMMUNITY ACQUIRED PNEUMONIA , TYPE- ll RESPIRATORY FAILURE, PARAXYSMAL AF WITH FVR , HFMEF (EF-45,%) , K/C/O.BRONCHIAL ASTHAMA

PRESENTING COMPLAINTS:
84 YEARS MALE PATIENT C/O.SHORTNESS OF BREATH SINCE MORNING 
FEVER SINCE 5 DAYS. 



HISTORY OF PRESENTING COMPLAINTS :
The patient was apparently asymptomatic before  3yrs gradually he had shortness of breath on and off, which is of GRADE -ll NYHA and sinc morning he had sudden onset of severe shortness of breath associated with minimal exertion.
 fever since  5 days associated with chills and rigor intermittent and High grade . 
 Cough with sputum since 5days whitish in colour, copious in amount.

PAST HISTORY:
NO H/O. HYPERTENSION 
NO H/O. DIABETES MELLITUS 
NO H/O. CAD /CVA 
NO H/O. TB/ ASTHMA / EPILEPSY 

TREATMENT HISTORY:
NO PREVIOUS HISTORY OF MEDICATIONS 

PERSONAL HISTORY: 
Diet - mixed 
Appetite - normal 
Bladder and Bowel - Regular 
Sleep - adequate 
Alcohol - Regular 90ml/day since 20yrs
Smokes 1pack/day since 20yrs 
No drug addictions 

FAMILY HISTORY:
No H/O HTN/DM/TB/ASTHMA/EPILEPSY/CAD/THYROID DISORDERS in the family.

PROVISIONAL DIAGNOSIS :
COMMUNITY ACQUIRED PNEUMONIA,  TYPE -ll RESPIRATORY FAILURE, PARAXYSMAL AF WITH FVR , 
HEART FAILURE WITH MIDRANGE EJECTION FRACTION (45%,)
K/C/O. BRONCHIAL ASTHAMA 

GENERAL PHYSICAL EXAMINATION:
HEIGHT - 160 cms
WEIGHT - 55 kg
NO PALLOR 
NO ICTERUS 
NO CYNOSIS 
NO CLUBBING 
NO LYMPH EDNOPATHY 

DAY 1 ON EXAMINATION: 21/11/2024 at 9.40 pm
TEMP - 98 f
PULSE - 128/min irregularly irregular.
HR - 148/min irregular heartbeat 
APEX PULSE DEFICIT - 20
BP - 100/70 mm of hg
RR - 30 / min
SPO2 - 100% on 6 LTS. O2
CVS -S1,S2 PRESENT, NO MURMURS 
RS - BAE -PRESENT , LEFT SIDED CREPTS PRESENT IN MA,ISA , AA
PA - SOFT , NON TENDER 
CNS - NFND 
INVESTIGATIONS ON 21/11/2024
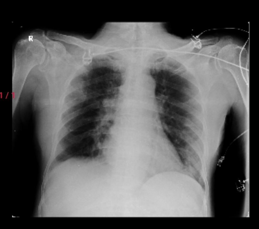
CHEST X.RAY ON 21/11/2024

ECG ON 21/11/2024 ,10PM
TREATMENT ON 21/11/2024 
1. NEBULIZATION WITH - IPRAVENT 6th hrly , BUDECORT 8th hrly
2.INJ. HYDROCORT 100MG.IV STAT
3.INJ. AUGMENTIN 1.2gm.IV.BD
4.TAB. AZITHROMYCIN 500mg.PO.OD
5.INJ. NEOMOL.1GM.IV.STAT

DAY-2 ON EXAMINATION ON 22/11/2024 , 8am :
TEMP - 98.4 f
PULSE - 92/min irregularly irregular.
HR - 138/min irregular heartbeat 
APEX PULSE DEFICIT - 46
BP - 110/70 mm of hg
RR - 28 / min
SPO2 - 98% on 6 LTS. O2
CVS -S1,S2 PRESENT, NO MURMURS 
RS - BAE -PRESENT , LEFT SIDED CREPTS PRESENT IN MA,ISA , bAA
PA - SOFT , NON TENDER 
CNS - NFND 
INVESTIGATIONS ON 22/11/2024
ECG ON 22/11/2024 9.30pm


TREATMENT ON 22/11/2024
1. CONTINUOUS CPAP
2.INJ. AUGMENTIN 1.2gm.iv.BD
3.TAB. AZITHROMYCIN 500mg.PO.OD
3.INJ. NEOMOL.1GM.IV.SOS (if Temp>101)
4.SYP.ASCORIL.LS.15ML.TID
5. NEBULIZATION WITH - IPRAVENT 6th.hrly
BUDECORT-8th.hrly

DAY-3 ON EXAMINATION ON 23/11/2024 , 8am
Patient is concious, coherent, co-operative 
TEMP - 98.1 f
PULSE - 100/min irregularly irregular.
HR - 140/min irregular heartbeat 
APEX PULSE DEFICIT - 40
BP - 100/60 mm of hg
RR - 24 / min
SPO2 - 98% on 6 LTS. O2
CVS -S1,S2 PRESENT, NO MURMURS 
RS - BAE -PRESENT , LEFT SIDED CREPTS PRESENT IN MA,ISA , bAA
PA - SOFT , NON TENDER 
CNS - NFND 
INVESTIGATIONS ON 23/11/2024

TREATMENT ON 23/11/2024
1. INTERMITTENT BIPAAP
2.INJ. AUGMENTIN 1.2gm.iv.BD
3.TAB. AZITHROMYCIN 500mg.PO.OD
3.INJ. NEOMOL.1GM.IV.SOS (if Temp>101)
4. INJ.AMIODARONE 900mg IN 500ml NS @16.6ml/hr
 5. TAB.MET.XL 25MG.PO.BD
6.SYP.ASCORIL.LS.15ML.TID
7.INJ. LASIX.20MG .IV.BD
8.INJ.METOPROLOL 1MG.IV.STAT
9.TAB.ELIQUS 2.5MG.PO.OD
10. TAB.DILTIAZEM 30MG.PO.BD

DAY-4 ON EXAMINATION ON 24/11/2024 , 8am
Patient is concious, coherent, co-operative 
TEMP - 98.4 f
PULSE - 104/min irregularly irregular.
HR - 143/min irregular heartbeat 
APEX PULSE DEFICIT - 40
BP - 100/,70 mm of hg
RR - 26 / min
SPO2 - 99 % on 2 LTS. O2
CVS -S1,S2 PRESENT, NO MURMURS 
RS - BAE -PRESENT , LEFT SIDED CREPTS PRESENT IN ISA 
PA - SOFT , NON TENDER 
CNS - NFND 

INVESTIGATIONS ON 24/11/2024 
CHEST X.RAY ON 24/11/2024

TREATMENT ON 24/11/2024 , 8am :
1. INTERMITTENT BIPAAP
2.INJ. AUGMENTIN 1.2gm.iv.BD
3.TAB. AZITHROMYCIN 500mg.PO.OD
3.INJ. NEOMOL.1GM.IV.SOS (if Temp>101)
4.TAB. DIGOXIN 0.5MG.STAT , followed by TAB. DIGOXIN 0.25 MG.OD
 5. TAB.MET.XL 25MG.PO.BD
6.SYP.ASCORIL.LS.15ML.TID
7.INJ. LASIX.20MG .IV.BD
8.TAB.ELIQUS 2.5MG.PO.OD
9. TAB.DILTIAZEM 30MG.PO.BD (STOP)

DAY-5 ON EXAMINATION ON 25/11/2024 , 8am
Patient is concious, coherent, co-operative 
TEMP - 98.4 f
PULSE - 98/min irregularly irregular.
HR - 143/min irregular heartbeat 
APEX PULSE DEFICIT - 45
BP - 100/,70 mm of hg
RR - 24 / min
SPO2 - 98 % on 2 LTS. O2
CVS -S1,S2 PRESENT, NO MURMURS 
RS - BAE -PRESENT , LEFT SIDED CREPTS PRESENT IN ISA 
PA - SOFT , NON TENDER 
CNS - NFND 
INVESTIGATIONS ON 25/11/2024
ECG ON 25/11/2024 7am 
TREATMENT ON ,25/11/2024
1. INTERMITTENT BIPAAP
2.INJ. AUGMENTIN 1.2gm.iv.BD
3.TAB. AZITHROMYCIN 500mg.PO.OD
3.INJ. NEOMOL.1GM.IV.SOS (if Temp>101)
4.TAB. DIGOXIN 0.5MG.STAT , followed by TAB. DIGOXIN 0.25 MG.OD
 5. TAB.MET.XL 25MG.PO.BD
6.SYP.ASCORIL.LS.15ML.TID
7.INJ. LASIX.20MG .IV.BD
8.TAB.ELIQUS 2.5MG.PO.OD

DAY-6 ON EXAMINATION ON 26/11/2024 , 8am
Patient is concious, coherent, co-operative 
TEMP - 97.8 f
PULSE - 92/min irregularly irregular.
HR - 112/min irregular heartbeat 
APEX PULSE DEFICIT - 20
BP - 110/,70 mm of hg
RR - 22 / min
SPO2 - 98 % on 2 LTS. O2
CVS -S1,S2 PRESENT, NO MURMURS 
RS - BAE -PRESENT , LEFT SIDED CREPTS PRESENT IN ISA 
PA - SOFT , NON TENDER 
CNS - NFND 
INVESTIGATIONS ON 26/11/2024
TREATMENT ON ,26/11/2024
1. INTERMITTENT BIPAAP
2.INJ. AUGMENTIN 1.2gm.iv.BD
3.TAB. AZITHROMYCIN 500mg.PO.OD
3.INJ. NEOMOL.1GM.IV.SOS (if Temp>101)
4.TAB. DIGOXIN 0.5MG.STAT , followed by TAB. DIGOXIN 0.25 MG.OD
 5. TAB.MET.XL 25MG.PO.BD
6.SYP.ASCORIL.LS.15ML.TID
7.INJ. LASIX.20MG .IV.BD

DAY-7 ON EXAMINATION ON 27/11/2024 , 8am
Patient is concious, coherent, co-operative 
TEMP - 97.2 f
PULSE -78/min irregularly irregular.
HR - 86/min irregular heartbeat 
APEX PULSE DEFICIT - 8
BP - 110/,80 mm of hg
RR - 20 / min
SPO2 - 98 % on Room air
CVS -S1,S2 PRESENT, NO MURMURS 
RS - BAE -PRESENT , NVBS
PA - SOFT , NON TENDER CNS - NFND 
INVESTIGATIONS ON 27/11/2024 
TREATMENT ON ,27/11/20
 TAB.MET.XL 25MG.PO.OD 
 TAB.ELIQUS 2.5 MG.PO.OD
TAB.DIGOXIN 2.5MG.PO.OD
MDI FORACORT 2PUFFS TWICE DAILY
HOME OXYGEN THERAPY 

PATIENT DISCHARGED ON 27/11/2024
Name :                   IPID : 202451211
UHID : 20241134995 Pay Type : Paying
Age/Gender : 84 Years/Male
Address :
Discharge Type: Relieved
Admission Date: 21/11/2024 09:40 PM
Name of Treating Faculty
DR. SHASIKALA (SR)
DR. VENKAT SAI (III YEAR) DR. NISHITHA (III YEAR)
DR. NITHIN GOUTHAM (II YEAR) DR. AKASH DEEP (I YEAR)
Diagnosis
COMMUNITY ACQUIRED PNEUMONIA (RESOLVED) TYPE II RESPIRATORY FAILURE (RESOLVED)
PAROXYSMAL ATRIAL FIBRILLATION WITH FAST VENTRICULAR RATE HFmEF (EF =45%)
K/C/O BRONCHIAL ASTHMA
Case History and Clinical Findings
CHIEF COMPLAINTS
C/O SOB SINCE MORNING FEVER SINCE 5 DAYS COUGH SINCE 5 DAYS
HISTORY OF PRESENT ILLNESS
PATIENT WAS APPARENTLY ASYMPTOMATIC 5 DAYS BACK AFTER WHICH HE DEVELOPED FEVER ASSOCIATED WITH CHILLS AND RIGOR INTERMITTENT IN NATURE . COMPLAINTS OF COUGH WITH SPUTUM SINCE 5 DAYS WHITE IN COLOUR , CUPIOUS IN AMOUNT C/O SHORTNES OF BREATH SINCE 5 DAYS PROGRESSED FROM GRADE1 TO GRADE 3 AGGRAVATED ON DOING WORK
NO C/O CHEST PAIN ,ORTHOPNEA,ABDOMINAL PAIN,VOMITING , NAUSEA ,DIARRHEA , BURNING MICTURITION , PEDAL EDEMA
PAST ILLNESS
N/K/C/O DM,TB,ASTHMA,CVA,CAD ,EPILEPSY


PERSONAL HISTORY:
OCCUPATION- FARMER APPETITE - NORMAL
BOWEL AND BLADDER -REGULAR ADDICTIONS- ALCOHOLIC OCCASIONAL 90ML

GENERAL EXAMINATION:
NO PALLOR ICTERUS CYANOSIS CLUBBING LYMPHADENOPATHY OEDEMA BP: 110/70 MMHG
PR:150 BPM RR: 30 CPM
TEMPERATURE: AFBRILE SPO2: 100% AT RA
CVS: NO THRILLS, S1S2 +, NO MURMURS RS: BAE+,NVBS
PER ABDOMEN:
SOFT , NON TENDER CNS : NF ND
PUMONOLGY REFFERAL WAS DONE ON 22/11/24 I/V/O K/C/O BRONCHIAL ASTHMA ADVICE ;-
CONTINUE SAME TREATMENT STABILIZE CARDIAC CONDITION
NO INTERVENETION NEEDED FROM PULMONOLGY


REVIEW REFFERAL OF PULMONOLGY DONE ON 25/11/24 ADVICE:-
CONTINUE SAME TREATMENT INJ.HYDROCORT 100MG IV/TID SYRUP.ASCORIL-LS PO/TID 2 TSBP
Investigation
NameValueRangeNameValueRangeABG 21-11-2024 10:43:PM PH7.24PCO278.4PO251.1HCO332.8St.HCO327.4BEB3.8BEecf5.9TCO269.6O2 Sat78.3O2 Count12.7RFT 21-11-2024 11:25:PM UREA64 mg/dl50-17 mg/dlCREATININE1.1 mg/dl1.3-0.8
mg/dlURIC ACID3.7 mmol/L7.2-3.5 mmol/LCALCIUM8.8 mg/dl10.2-8.6 mg/dlPHOSPHOROUS2.7 mg/dl4.5-2.5 mg/dlSODIUM140 mmol/L145-136 mmol/LPOTASSIUM3.8 mmol/L.5.1-3.5 mmol/L.CHLORIDE106 mmol/L98-107 mmol/LLIVER FUNCTION TEST (LFT) 21-11-2024 11:25:PM
Total Bilurubin1.16 mg/dl1-0 mg/dlDirect Bilurubin0.25 mg/dl0.2-0.0 mg/dlSGOT(AST)97 IU/L35-0 IU/LSGPT(ALT)355 IU/L45-0 IU/LALKALINE PHOSPHATASE147 IU/L119-56 IU/LTOTAL PROTEINS5.5 gm/dl8.3-6.4 gm/dlALBUMIN3.11 gm/dl4.6-3.2 gm/dlA/G RATIO1.30COMPLETE URINE EXAMINATION (CUE) 21-11-2024 11:25:PM COLOURPale yellowAPPEARANCEClearREACTIONAcidicSP.GRAVITY1.010ALBUMIN+SUGARNilBILE SALTSNilBILE PIGMENTSNilPUS CELLS2-3EPITHELIAL CELLS2-3RED BLOOD CELLSNilCRYSTALSNilCASTSNilAMORPHOUS DEPOSITSAbsentOTHERSNilRFT 22-11-2024
12:13:AM UREA69 mg/dl50-17 mg/dlCREATININE1.1 mg/dl1.3-0.8 mg/dlURIC ACID3.9 mmol/L7.2-
3.5 mmol/LCALCIUM9.3 mg/dl10.2-8.6 mg/dlPHOSPHOROUS2.8 mg/dl4.5-2.5 mg/dlSODIUM137 mmol/L145-136 mmol/LPOTASSIUM4.2 mmol/L.5.1-3.5 mmol/L.CHLORIDE101 mmol/L98-107 mmol/LABG 22-11-2024 12:13:AM PH7.24PCO275.9PO237.3HCO331.9St.HCO326.4BEB3.1BEecf5.0TCO268.0O2 Sat57.8O2 Count9.3ABG 22-11-2024 12:46:AM PH7.23PCO280.0PO299.2HCO332.7St.HCO327.6BEB3.6BEecf5.7TCO269.5O2 Sat96.4O2 Count15.5ABG 22-11-2024 01:06:PM PH7.294PH7.29PH7.29PCO265.8PCO265.8PCO265.8PO236.0PO236.0PO236.0HCO331.0HCO33 1.0HCO331.0St.HCO326.6St.HCO326.6St.HCO326.6BEB3.4BEB3.4BEB3.4BEecf4.9BEecf4.9BEecf 4.9TCO265.2TCO265.2TCO265.2O2 Sat58.4O2 Sat58.4O2 Sat58.4O2 Count9.5O2 Count9.5ABG 22-11-2024 06:58:PM PH7.267PCO258.6PO2202HCO325.8St.HCO323.7BEB-0.9BEecf- 0.3TCO256.6O2 Sat99.1O2 Count11.6RFT 22-11-2024 10:29:PM UREA64 mg/dl50-17 mg/dlCREATININE1.2 mg/dl1.3-0.8 mg/dlURIC ACID4.4 mmol/L7.2-3.5 mmol/LCALCIUM8.6 mg/dl10.2-8.6g mg/dlPHOSPHOROUS2.1 mg/dl4.5-2.5 mg/dlSODIUM139 m
mol/L145-136 mmol/LPOTASSIUM3.7 mmol/L.5.1-3.5 mmol/L.CHLORIDE99 mmol/L98-107 mmol/LABG 22-11-2024 10:29:PM PH7.33PCO267.4PO2100HCO335.0St.HCO331.6BEB7.9BEecf9.1TCO273.6O2 Sat97.4O2 Count13.9ABG 23-11-2024 02:45:PM PH7.36PCO262.0PO294.4HCO334.3St.HCO332.0BEB8.2BEecf8.8TCO274.0O2 Sat97.5O2 Count10.6RFT 23-11-2024 11:27:PM UREA44 mg/dl50-17 mg/dlCREATININE1.1 mg/dl1.3-0.8
mg/dlURIC ACID3.3 mmol/L7.2-3.5 mmol/LCALCIUM8.7 mg/dl10.2-8.6 mg/dlPHOSPHOROUS2.0 mg/dl4.5-2.5 mg/dlSODIUM136 mmol/L145-136 mmol/LPOTASSIUM3.5 mmol/L.5.1-3.5 mmol/L.CHLORIDE98 mmol/L98-107 mmol/LABG 23-11-2024 11:27:PM PH7.41PCO262.5PO249.1HCO339.6St.HCO336.0BEB12.5BEecf14.3TCO278.8O2 Sat83.5O2 Count15.4ABG 24-11-2024 06:17:PM PH7.43PCO255.7PO248.5HCO337.0St.HCO334.2BEB10.8BEecf12.1TCO272.8O2 Sat82.9O2 Count15.9RFT 24-11-2024 10:43:PM UREA42 mg/dl50-17 mg/dlCREATININE1.0 mg/dl1.3-0.8
mg/dlURIC ACID2.7 mmol/L7.2-3.5 mmol/LCALCIUM9.0 mg/dl10.2-8.6 mg/dlPHOSPHOROUS2.2 mg/dl4.5-2.5 mg/dlSODIUM136 mmol/L145-136 mmol/LPOTASSIUM3.4 mmol/L.5.1-3.5 mmol/L.CHLORIDE97 mmol/L98-107 mmol/LABG 24-11-2024 10:43:PM PH7.37PCO268.2PO236.4HCO338.8St.HCO333.5BEB10.8BEecf13.1TCO277.4O2 Sat62.4O2 Count12.7RFT 25-11-2024 11:25:PM UREA51 mg/dl50-17 mg/dlCREATININE1.2 mg/dl1.3-0.8
mg/dlURIC ACID2.5 mmol/L7.2-3.5 mmol/LCALCIUM9.5 mg/dl10.2-8.6 mg/dlPHOSPHOROUS2.0 mg/dl4.5-2.5 mg/dlSODIUM136 mmol/L145-136 mmol/LPOTASSIUM3.5 mmol/L.5.1-3.5 mmol/L.CHLORIDE97 mmol/L98-107 mmol/LABG 25-11-2024 11:25:PM PH7.42PCO260.6PO230.9HCO339.2St.HCO335.5BEB12.8BEecf14.1TCO280.4O2 Sat50.6O2
Count8.3
CBP ON 27/11/24
HAEMOGLOBIN 11.3 gm/dl TOTAL COUNT 11,700 cells/cumm NEUTROPHILS 87 % LYMPHOCYTES 06 % EOSINOPHILS 01 %MONOCYTES 06 % BASOPHILS 00 % PLATELET
COUNT 2.74 lakhs/cu.mm ABG ON 27/11/24
PH 7.45 PCO2 46.7 mmHgPO2 57.8 mmHg HCO3 32.7 mmol/LSt.HCO3 31.8 mmol/LBEB 8.2
mmol/LBEecf 8.5 mmol/LTCO2 67.0 VOLO2 Sat 89.8 %O2 Count 13.0 vol % RFT ON 27/11/24
UREA 54 mg/dl 17 - 50 CREATININE 1.2 mg/dlURIC ACID 2.8 mmol/LCALCIUM 10.1 mg/dl
PHOSPHOROUS 2.0 mg/dl SODIUM 136 mmol/L POTASSIUM 3.7 mmol/L. CHLORIDE 98 mmol/L 2D-ECHO DONE ON 22/11/24
TACHCARDIA DURING STADY
RWMA LAD TERRITORY HYPOKINESIA MILD MR(MR JET AREA 3.8CM )
MILD AR (AR-PHT 518ML/SEC)
MILD TR WITH PAH (RVSP2 35 +05240 MM/HG) EF=45%MILD TO MODERATE LV DYSFUNCTION GRADE -I DIASTOLIC DYSFINCTION
MINIMAL PE , NO LV CLOT
IVC SIZE 1.45 CM , NON COLLAPSING
SCLEROTIC AV , NO AS/MS ,IAS -INTACT /ANEURYSM
Treatment Given(Enter only Generic Name)
INJ.AUGMENTIN 1,2 GM IV/BD INJ.LASIX 20MG IV/BD
NEB. WITH IPRAVENT AT 6TH HOURLY BUDECORD AT 8TH HOURLY MUCOMIST AT 8TH HOURLY TAB.AZITHROMYCIN 500MG PO/OD
TAB.MET -XL 25MG PO/ODTAB.ELIQUS 2.5MG PO/OD TAB.DIGOXIN 0.25 PO/OD
Advice at Discharge TAB METXL 25MG PO/BD 1-0-0 TO CONTINUE
TAB ELIQUS 2.5MG PO/OD 1-0-0 TO CONTINUE
TAB DIGOXIN 0.25MG PO/OD 1-0-0 TO CONTINUE
MDI FORACORT 200MCG 2PUFFS
1-----1 1 X 5 DAYS FB 2 PUFFS SOS
OINT THROMBOPHOBE L/A TID X 3 DAYS SYP ASCORIL IS PO/TID
15ML-15ML-15ML X 3 DAYS
HOME OXYGENATION INTERMITTENTLY
Follow Up
REVIEW TO GM OPD AFTER 15 DAYS /SOS
When to Obtain Urgent Care
IN CASE OF ANY EMERGENCY IMMEDIATELY CONTACT YOUR CONSULTANT DOCTOR OR ATTEND EMERGENCY DEPARTMENT.
Preventive Care
AVOID SELF MEDICATION WITHOUT DOCTORS ADVICE,DONOT MISS MEDICATIONS. In case
of Emergency or to speak to your treating FACULTY or For Appointments, Please Contact: 08682279999 For Treatment Enquiries Patient/Attendent Declaration : - The medicines prescribed and the advice regarding preventive aspects of care ,when and how to obtain urgent care have been explained to me in my own language
SIGNATURE OF PATIENT /ATTENDER


SIGNATURE OF PG/INTERNEE


SIGNATURE OF ADMINISTRATOR


SIGNATURE OF FACULTY
Discharge Date Date:27/11/24 Ward:ICU
Unit:IV

Popular posts from this blog

76 years old MALE WITH CARDIOGENIC SHOCK, ATRIAL FIBRILLATION, HFREF (17%) PRE RENAL AKI ON CKD, RIGHR UPPER LOAB FIBROSIS (post TB sequelae)

DR VENKANNA'S THESIS